Nur notwendige akzeptieren
Auswahl akzeptieren
Alle akzeptieren
Impressum & Datenschutz
Online Termine buchen
Navigation aufklappen/zuklappen
Vollkeramische Kronen, Brücken, Inlays · Moderne Hochleistungskeramik aus Zirkonoxid bietet zahlreiche Vorteile. Zahnärzte Dr. Gorden & Poll Dortmund

Vollkeramische Kronen, Brücken und Inlays · Moderne Hochleistungskeramik aus Zirkonoxid bietet zahlreiche Vorteile.

Vollkeramische Kronen, Brücken, Inlays · Moderne Hochleistungskeramik aus Zirkonoxid bietet zahlreiche Vorteile. Zahnärzte Dr. Gorden & Poll Dortmund Gemeinschaftspraxis für Zahn-, Mund- und Kieferheilkunde Dr. Gorden & Dr. Poll in Dortmund

Metallfreie Restauration · Ideal u. a. für Metall-Allergiker

Bisher wurden konventionelle Kronen und Brücken meist als Kombination von Metallgrundgerüst und keramischer Verblendung aufgebaut.

Diese Kombination hat sich durch die hohe Haltbarkeit und Farbtreue bewährt und wird auch heute noch eingesetzt. Auf der anderen Seite können sich bei Metall-allergischen Menschen durch diese Kombination auch Probleme ergeben.

Vor einigen Jahren erschienen dann die sog. Jacketkronen, die erstmalig ganz aus Keramik hergestellt wurden. Damit diese jedoch die erforderliche Stabilität erreichten, mussten sie eine erhebliche Materialstärke aufweisen. Dadurch musste jedesmal sehr viel Zahnmaterial geopfert werden. Trotzdem kam es bei diesen Kronen immer wieder zu Brüchen.

Die Krone der Krone: Moderne Vollkeramik-Kronen!

Vollkeramikkrone Durch die neue Generation von Brücken, Kronen und Inlays aus Vollkeramik lösten sich alle diese Probleme. Möglich machen es neue Fertigungstechniken und bessere Materialien.

Moderne Hochleistungskeramik besteht aus Zirkonoxid und vereint nahezu die Festigkeit von metall-keramischen Kronen mit den biologisch, ästhetischen Vorteilen der Keramik.

Sie ist so stabil, dass eine viel schonendere Präparation der Zähne möglich ist: Natürliche Zahnsubstanz wird geschont. Ausserdem freuen sich Metallallergiker über den komplett metallfreien Aufbau.

Ist auch eine schnellere Versorgung möglich?

In einigen medizinisch gut gelagerten Fällen ist es möglich, das Einsetzten des Implantates und des Zahnersatzes am selben Tag vorzunehmen. Beides kann dann gemeinsam abheilen. Ihr schönes Lachen kann früher wieder erstrahlen. Ob dies in Ihrem Fall möglich ist, kann nur eine eingehende Untersuchung ergeben.

Vollkeramik - Die ästhetisch perfekte Lösung!

Keramikbrücken und Kronen sind die ästhetisch und optisch beste Versorgungsmöglichkeit der Zähne. Sie wirken lebendig und transparent, weil sie kein Metallgerüst enthalten. So sehen Zähne, die mit einer Keramik-Krone oder einem Keramik-Inlay versorgt wurden, absolut naturidentisch aus. Möglich wird das durch die neuen Keramikmaterialien.

Die Herstellung:

metallfreie Restauration

Dabei wird zunächst der Zahnersatz computergesteuert aus einem industriell vorgefertigten Keramikblock gefräst. Er besteht aus hochfester Spezial-Keramik.

Sein ästhetisches, individuelles Aussehen erhält der Zahn anschliessend durch den Zahntechniker. Er versieht diesen "Rohling" mit einer Keramikverblendung, die dem Zahn die gewünschte Farbe und Form gibt. Durch diese Kombination kommt ein Zahn von höchster Perfektion und Stabilität zustande.

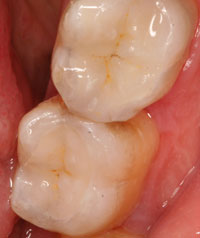
Vollkeramik-Kronen

Vollkeramikkrone Am Beispiel links kann man die geringe Wandstärke der Krone deutlich erkennen. Trotzdem sollte man für eine Vollkeramikkronenversorgung nur Zähne vorsehen, die noch über genügend Stabilität verfügen. Dies gilt insbesondere im Frontzahnbereich.

Vollkeramik-Brücken

Alle geschilderten Vorzüge einer Vollkeramik-Versorgung können natürlich auch beim Einsatz von Brücken genutzt werden.

Vollkeramik-Inlays

Vollkeramikkrone Natürlich gibt es heute auch Inlays aus Vollkeramik - eine kosmetisch perfekte Lösung. Sie sind beinahe unsichtbar und bieten deshalb eine optimale Ästhetik.

Da sie metallfrei sind ist eine höchste Bioverträglichkeit garantiert. Auf ihnen sammeln sich kaum Beläge an. Auf Grund der hohen Verschleißfestigkeit zählen sie zu den höchstwertigen Zahnversorgungen und helfen bei der langfristigen Erhaltung des Zahnes.

Wenn Sie über eine Krone oder Brücke nachdenken...

...sprechen Sie mit uns. Wir beraten Sie gerne. Gemeinsam finden wir die für Sie optimalste Lösung.

©2026 · Zahnarztpraxis Dr. Gorden & Dr. Poll · Kampstr. 41 · D-44137 Dortmund